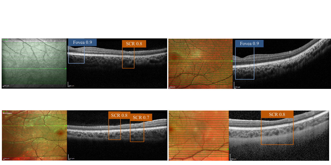
Optical Coherence Tomography (OCT) is a non-invasive imaging technique that generates high resolution cross-sections of tissues where diagnosis through biopsy is not available - such as human retina. OCT uses light in near-infrared spectral range to penetrate tissues up to several hundred microns thick. The OCT technology is used as a diagnostic tool designed to assist ophthalmologists in identifying retinal diseases, such as sickle cell retinopathy (SCR), diabetic macular edema (DME), glaucoma, and so on.
Under microscopy, a cross-section of a human retina shows ten distinct layers. An OCT examination produces a sequence of retinal cross-section images or b-scans. The visibly thin areas on the OCT color-coded retinal thickness map appear as blue or magenta patches where the normal retina is colored green-yellow. The retina has a structure with symmetrically thin inner layers called the fovea. A fovea is a naturally occurring depression in the inner retinal surface, about 1.5mm wide, responsible for visual acuity. The aparrent thickness of the retinal layers play a huge role in diagnosing retinal diseases. At VIMS lab, we focus on analyzing the OCT scans to perform retinal layer segmentation (RLS) and SCR detection (see Research).
We extend our sincere thanks to the Nemours Children’s Hospital, Delaware for funding and supporting our research.

Analyzing Adjacent B-Scans to Localize Sickle Cell Retinopathy in OCTs
Medical Image Computing and Computer Assisted Intervention (MICCAI), 2024
Detachable Encoder Transformer for SCR Detection
Investigative Ophthalmology & Visual Science June 2024, Vol.65, 2363 (IOVS 2022:ARVO E-Abstract)
A deep learning system for sickle cell retinopathy detection using retinal OCT images from children with sickle cell disease
Investigative Ophthalmology & Visual Science June 2022, Vol.63, 3280 – A0332 (IOVS 2022:ARVO E-Abstract)
CU-Net: Towards Continuous Multi-Class Contour Detection for Retinal Layer Segmentation In Oct Images
2022 IEEE International Conference on Image Processing (ICIP)