Publications

Analyzing Adjacent B-Scans to Localize Sickle Cell Retinopathy in OCTs

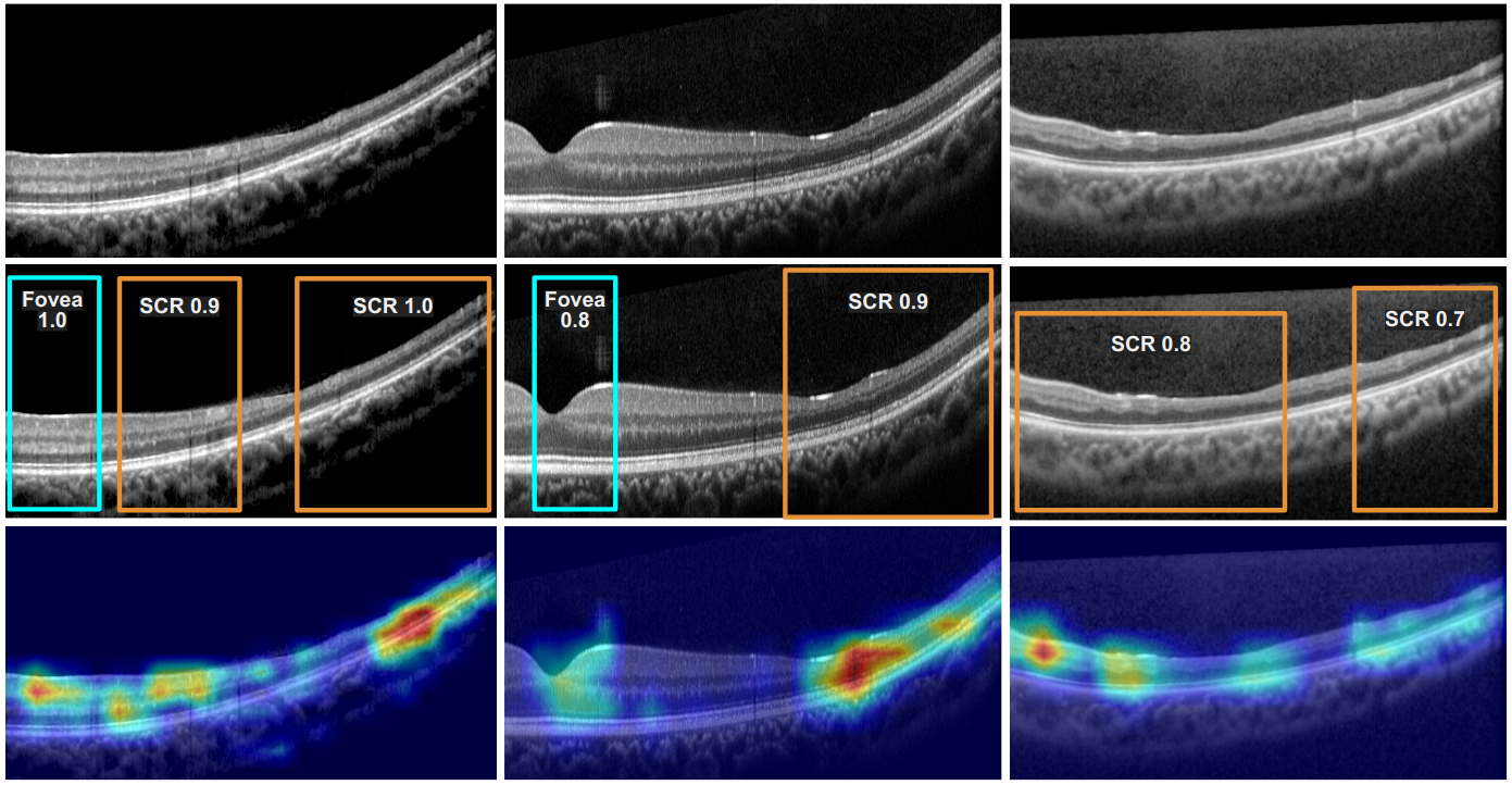
Imaging modalities, such as Optical coherence tomography (OCT), are one of the core components of medical image diagnosis. Deep learning-based object detection and segmentation models have proven efficient and reliable in this field. OCT images have been extensively used in deep learning-based applications, such as retinal layer segmentation and retinal disease detection for conditions such as age-related macular degeneration (AMD) and diabetic macular edema (DME). However, sickle-cell retinopathy (SCR) has yet to receive significant research attention in the deep-learning community, despite its detrimental effects. To address this gap, we present a new detection network called the Cross Scan Attention Transformer (CSAT), which is specifically designed to identify minute irregularities such as SCR in cross-sectional images such as OCTs. Our method employs a contrastive learning framework to pre-train OCT images and a transformer-based detection network that takes advantage of the volumetric nature of OCT scans. Our research demonstrates the effectiveness of the proposed network in detecting SCR from OCT images, with superior results compared to popular object detection networks such as Faster-RCNN and Detection Transformer (DETR). Our code can be found in github.com/VimsLab/CSAT.

Ashuta Bhattarai, Jing Jin, Chandra Kambhamettu

Medical Image Computing and Computer Assisted Intervention (MICCAI), 2024

Detachable Encoder Transforrmer for SCR detection

Retinal damage in sickle cell disease (SCD) begins with vascular occlusion by sickled red blood cells. Inner retinal thinning due to tissue volume loss is the most common finding in OCT retinal images of SCD patients. Inner retinal thinning from neuronal migration is one of the characteristics of normal fovea. This project aims to develop and validate a deep learning system to detect retinal thickness changes due to sickle cell retinopathy (SCR) using retinal OCT from children with SCD.

Ashuta Bhattarai, Jing Jin, Chandra Kambhamettu

Investigative Ophthalmology & Visual Science June 2024, Vol.65, 2363 (IOVS 2022:ARVO E-Abstract)

A deep learning system for sickle cell retinopathy detection using retinal OCT images from children with sickle cell disease

Retinal damage in sickle cell disease (SCD) begins with vascular occlusion by sickled red blood cells. Inner retinal thinning due to tissue volume loss is the most common finding in OCT retinal images of SCD patients. Inner retinal thinning from neuronal migration is one of the characteristics of normal fovea. This project aims to develop and validate a deep learning system to detect retinal thickness changes due to sickle cell retinopathy (SCR) using retinal OCT from children with SCD.

Jing Jin, Ashuta Bhattarai, Robin Miller, Edward Kolb, Chandra Kambhamettu

Investigative Ophthalmology & Visual Science June 2022, Vol.63, 3280 – A0332 (IOVS 2022:ARVO E-Abstract)

CU-Net: Towards Continuous Multi-Class Contour Detection for Retinal Layer Segmentation In Oct Images

Recent deep learning-based contour detection studies show high accuracy in single-class boundary detection problems. However, this performance does not translate well in a multi-class scenario where continuous contours are required. Our research presents CU-Net, a U-Net-based network with residual-net encoders which can produce accurate and uninterrupted contour lines for multiple classes. The critical factor behind this concept is our continuity module, containing an interpolation layer and a novel activation function that converts discrete signals into smooth contours. We find the application of our approach in medical imaging problems like retinal layer segmentation from optical coherence tomography (OCT) scans. We applied our method to an expert annotated OCT dataset of children with sickle-cell disease. To compare with benchmarks, we evaluated our network on DME and HC-MS datasets. We achieved an overall mean absolute distance of 6.48 ± 2.04µM and 1.97 ± 0.89µM, respectively 1.03 and 1.4 times less than the current state-of-the-art.

Ashuta Bhattarai, Chandra Kambhamettu, Jing Jin

2022 IEEE International Conference on Image Processing (ICIP)